🐱尿管結石に対する腹腔鏡手術🐱
猫でよくみられる泌尿器疾患のひとつに、尿管や膀胱に石ができてしまう「尿管結石・膀胱結石」があります。
尿管は本来非常に細い管状の臓器で、結石が詰まってしまうと腎臓の働きが急速に悪化し、命に関わる危険な状態になることもあります。
従来は開腹手術によって尿管を切開する治療が一般的でしたが、切開が大きく、術後の痛みや回復の遅れが課題でした。
■ 当院で実施した新しい治療アプローチ
今回当院では、腹腔鏡補助下で尿管切開術と膀胱切開術を同時に実施しました。
「すこし食欲がなく元気がない」
という主訴で来院されました。
猫のこのような主訴の場合があるときには、尿管結石の可能性を考慮して当院ではできれば血液検査と腹部超音波検査をさせていただくようにしています。
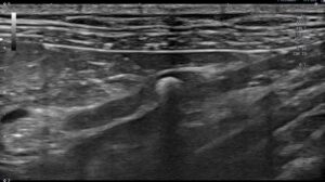
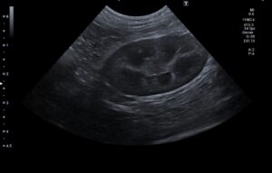
検査の結果、左の尿管結石と閉塞が見られました。


尿管閉塞が持続すると同部位の腎機能が急速に失われてしまうため、オーナー様の同意のもと尿管切開を実施することになりました。
また、膀胱内にも結石が存在したため、同時に摘出することとしました。

腹腔鏡を用いた尿管切開では、お腹に5㎜サイズの切開を2つと2㎝サイズの切開1つで実施します。
従来の開復で行う方法の1/5程度の切開で実施可能です。
腹腔鏡でお腹の中を拡大視しながら、尿管を分離ていきます。


その後尿管を体外へと牽引後尿管切開を行い結石を摘出します。


その切開創から膀胱にもアプローチを行い膀胱結石の摘出も行いました。
後腹膜臓器である尿管と腹腔内臓器である膀胱を開腹で同時にアプローチすると、かなり大きな切開が必要になりますが、この方法であれば、傷は最小限で、動物の身体への負担が大幅に軽減されます。
○ 小さな切開でアプローチ
○ 拡大視で安全・精密に操作
○ 血管や臓器への影響を最小限に
○ 膀胱と尿管への処置を同時に実施可能
術後の傷口はこのくらいです。

この手術方法は、世界的にもほとんど報告がないきわめて新しい低侵襲アプローチです。
当院を含むグループ内で研究・改良を重ねながら、安全性と確実性を高めています。

術後のエコーで腎臓の腎盂拡張は改善されています。
--------------------
■ 腹腔鏡を使うメリット
・術後の痛みが少ない
・回復が早い
・入院期間の短縮
・傷跡が小さく、舐め壊しのリスクも減り早期抜糸が可能
・細かな血管や尿管構造を安全に識別できる
「できる限り身体に負担をかけず、安全に確実に治療する」
その考えのもと、低侵襲手術を積極的に導入しています。
--------------------
■ すべての猫に腹腔鏡が最適とは限りません
病変の位置・大きさ・腎機能の状態などにより、開腹手術が安全な場合や、ステント留置・SUBシステムなど別の治療が適切な場合もあります。
当院では、
・腹腔鏡手術
・開腹手術
・内科治療
の中から、一頭一頭にとって最も負担が少なく、最も効果の高い治療を選びます。
--------------------
■ 猫の尿管結石・膀胱結石でお困りの方へ
・腎臓の数値が上がってきている
・食欲低下・元気消失が続いている
・繰り返す結石で治療に悩んでいる
・手術をすすめられたが不安がある
こうした場合は、一度ご相談ください。
🐾大切な家族がより快適に過ごせるように。
今後も最新の低侵襲医療を追求し、負担の少ない治療を提供してまいります。
最新の記事
-
尿管閉塞
🐱尿管結石に対する腹腔鏡手術🐱